오늘은 뇌종양 초기증상에 대해 알아보려고 해요. 뇌종양같은 경우 우리가 느낄수 있는 증상이 많지않아 시기를 놓치는 경우가 대개입니다. 이번기회에 필수로 잘알아두시고 기초건강에 중요성을 같이 알아가도록 합시다.



뇌종양
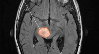
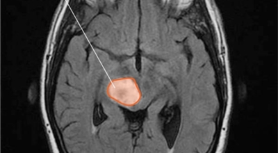
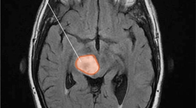
뇌종양이란 뇌 조직이나 뇌를 싸고 있는 막에서 발생한 종양과, 머리뼈나 주변 구조물로부터 멀리 떨어진 부위에서 뇌 조직이나 뇌막으로 전이된 종양을 의미해요. 뇌종양은 양성과 악성으로 나눌 수 있답니다. 양성 뇌종양은 성장 속도가 느리며 주위 조직과의 경계가 뚜렷해요. 양성 뇌종양은 수술 이외의 다른 치료 없이 완치되는 경우가 흔하고, 대부분 천천히 자라기 때문에 수술하지 않고 경과를 관찰하기도 해요.
그러나 양성 뇌종양도 완치될 수 없는 경우가 있답니다. 뇌간이나 척수와 같은 특정 부위에 생긴 종양은 수술로 없앨 수 없습니다. 또 크기가 작더라도 생명에 주요한 기능을 담당하는 뇌와 척수에 정도가 심한 훼손을 입힐 수 있답니다. 이 경우 조직학적으로는 양성이지만, 임상적으로는 악성과 같네요.
악성 뇌종양은 뇌암이라고도 하고, 성장 속도가 빠르며 주위 조직으로의 침투 역량이 강해요. 이에 따라 정상 뇌 조직으로 침윤되고 정상 뇌 조직과의 경계가 불분명해서 치료가 어려운 편이예요. 악성 뇌종양은 주변의 정상 뇌 조직을 빠른 속도로 파괴해요.
뇌종양 초기증상
1. 뇌종양 초기증상 - 두통
두통은 매우 가장 널리 알려진 뇌종양의 초기 증상으로 뇌종양 환자들의 약 70% 이상이 두통의 증상을 겪었으며 원인을 알 수 없는 두통을 지속적으로 겪고 있으면 뇌종양을 한 번쯤은 의심해 볼 필요는 있을 것 같습니다. 일반 두통과 다른 차이점이 있으면 뇌종양에 의한 두통의 경우, 매우 심각한 통증과 함께 토악질의 증상을 동반해서 생기는 경우가 많다고 해요. 만약 토악질와 심한 두통을 함께 겪고 있으면 뇌종양일 가능성이 높으니 정밀검사를 필수로 받아보시길 바랍니다.



2. 뇌종양 초기증상 - 피로감
뇌경색으로 인한 피로감은 동일한 피로 누적이 아니라 머리가 엄청 무겁고 본인도 통제하지 못할 만큼의 심각한 피로감이라고 해요. 또한 갑작스럽게 뒷목이 뻐근하고 아픕니다. 혈관을 막아 뇌로 피가 갈 수 없게 되면 뇌에 영양분, 산소가 공급이 잘 되지 않기 때문에 심각한 피로감을 느끼는 것입니다.
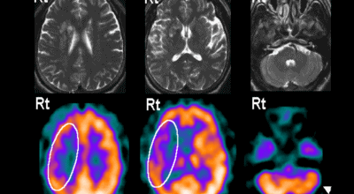
3. 뇌종양 초기증상 - 후각 저하
후각의 기능이 적어지는 증상도 뇌종양의 초기 증상에 해당됩니다. 냄새를 잘 맡지 못하게 되는 것을 말하는 것인데 이런 이유는 부비동염에 염증이 생겨나여 후각신경을 자극하기 때문입니다. 신경을 꼐속하여 자극을 하다 보니 이는 제기능을 하지 못하고 그만 냄새를 맡지 못하게 되는 것으로 보입니다.
뇌종양 환자의 약 40%의 환자들이 이런 증상을 겪었다고 알려져 있지만 대다수가 그저 축농증이나 알러지 정도로만 착각하는 경우가 넘치기 때문에 자세히 살펴볼 필요가 있답니다. 만에 하나라도 축농증일 경우 다른 호흡기(기침이나 재채기) 증상을 동반해서 나타나기 때문에 다른 증상이 없음에도 후각이 줄이며 이상하다면 뇌종양을 의심하고 검사를 받아볼 필요가 있답니다.



4. 뇌종양 초기증상 - 교모세포종의 문제
뇌종양 초기증상 여섯 번째는 교모세포종의 문제입니다. 가장 흔한 뇌종양은 수막종이며 종양의 크기나 위치에 따라 수술이 필요하지 않을 수 있지만 청각 신경초종은 이명을 나타나게 할 수 있고 심한 경우 안면 마비, 경련 및 통증을 유발할 수 있지만 뇌종양은 생존을 좌우하게되는 교모세포종 문제가 뒤늦게 생기는 것으로 주의가 필요한 이유입니다.
5. 뇌종양 초기증상 - 마비 증상
마비 증상은 우리가 뇌종양의 초기 증상 중 가장 쉽게 알아차릴 수 있는 증상입니다. 뇌종양이 발생하다 보면 뇌를 압박하는 더불어 뇌 주위의 신경을 압박하게 됩니다. 이로 인해 마비 증상이 나타나게 되는 것으로 보입니다.
마비의 증상을 단순히 넘어가는 분께서는 없겠지만 만약 팔이나 다리까지 마비의 증상이 이어졌다면 이미 뇌조직에 자리 잡은 종양의 크기가 커졌을 가능성이 높으니 빠른 치료가 필요해요. 나중에 후유증이나 언어장애 등을 최소화하기 위하여는 재빠른 대처와 치료가 필요해요.



6. 뇌종양 초기증상 - 언어장애, 기억장애
뇌종양이 측두엽 쪽에 위치한다면 말을 잘하지 못하던가 깜박깜박하는 기억장애가 생길 수 있답니다. 사람에 따라 공격적인 행동을 하기도 해요.
7. 뇌종양 초기증상 - 평형 장애
뇌경색에 의하여 갑작스럽게 몸이 한쪽으로 기울어지거나 걸을 때 중심을 잡기 힘들어서 불편함을 느끼거나 넘어질 위험이 있답니다. 걸을 때 계속하여 몸이 한쪽으로 치우치거나 균형을 잃어서 넘어지는 일이 발생한다면 뇌경색을 체크하시기 권해요.
보통은 어지러움과 헷갈릴 수 있지만 평형 장애는 단순히 어지럽고 현기증이 난다는 느낌 이상입니다. 균형감각 이상에 의하여 걸을 때 평형 장애로 인해 불편함을 느끼신다면 꼭 뇌경색을 체크하시기 권해요.



8. 뇌종양 초기증상 - 간질 발작
종양이 뇌피질을 자극하면 간질발작이 일어나게됩니다. 뇌종양인 줄 모르고 운전을 하면 큰 사고로 이어질 수 있답니다. 뇌 신경세포가 일시적 이상을 일으켜 과한 흥분 상태를 보이면 뇌전증으로 진단해요. 의식이 갑작스럽게 없어지고 발작 등 뇌기능의 일시적 마비 증상이 생깁니다. 이런 경련이 만성적, 반복적으로 나타날 때 간질이라고 해요.
9. 뇌종양 초기증상 - 시력저하
뇌경색으로 인해서 시력에 이상이 생겨 한쪽 눈으로만 볼 수 있거나 물체의 절반만 보이게 되는 것입니다. 접시 오른쪽에 사과가 있으며 왼쪽에 수박이 있어도 접시의 한쪽 면만 보이라서 다른 쪽에는 어떠한 음식이 있는지 모르게 되는 것으로 보입니다. 그러므로 주변 분들이 평상시 뇌 질환이 있으신 분들이 있다면 같이 식사를 하면서 의심하는 것도 좋답니다.



치료방법
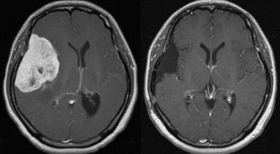
수술
종양의 부위가 너무 커서 다른 방법을 활용하기 어렵거나 신경학적으로 생기는 증상이 너무 심하다고 판단이 될 경우에 활용할 수 있답니다. 하지만 다발성 병변으로 발생한 종양이거나 면역력이 많이 떨어져 있는 등 전신이 쇠약한 환자의 경우, 신중하게 생각해보아야 해요.
항암치료
예사로 우리가 암에 걸리면 가장 힘들다고 얘기를 하는 항암치료를 고려해볼 수도 있습니다. 이 방법은 악성 뇌종양이거나 재발한 뇌암일 때 활용하게 됩니다. 역효과가 아주 크다고 알려져 있지만 이 방법으로 넉넉하게 완치되는 경우도 찾아볼 수 있습니다. 그러므로 다양한 뇌종양 원인 중에서 어떤 까닭으로 기인해서 발생한 것인지 판단해서 그에 맞는 적절한 뇌종양 치료법을 시행하는 것이 가장 중요해요.



방사선 치료
뇌종양이 악성인 경우, 빨리 자라는 특성이 있기 때문에 수술적으로 절제가 필요할 수 있습니다. 하지만 수술로 종양이 완벽하게 제거가 어려운 경우, 수술 후에 방사선 치료와 항암치료를 추가적으로 시행되어요. 요즘 들어서 뇌조직의 훼손을 최소화하고 수술 흉터가 거의 남지 않는 방법으로 하는 치료인 감마나이프 방사선 수술이 있답니다. 이 방사선 수술은 전신 마취와 피부 절개가 필요 없으며, 합병증이나 후유증이 적은 것으로 알려져 있습니다.
뇌종양 초기증상에 대하여 알아봤어요. 저의 포스팅 내용이 도움이 되셨으면 좋겠네요. 항상 건강하고 즐거운 하루 되시기 바랄게요.
달래간장 만드는 법 황금레시피, 손질법
이번에는 달래간장 만드는 법에 대한 포스팅입니다. 슬슬 봄나물이 나올 시기인데요, 가장 먼저 찾게 되는 건 달래가 아닌가 싶습니다. 별다른 요리 없이도 간장만 있으면 밥에 비벼 먹기에도
ejrmffktm.issuehothot.com
약밥 만드는 방법 전기밥솥으로 간편하게
오늘 이야기 해 볼 것은 약밥 만드는 방법에 대한 것인데요, 아래에서 자세한 내용 살펴보도록 하겠습니다. 약밥이란? 약반·약밥이라고도 해요. 혼사 때나 환갑 때도 먹어요. 〈삼국유사〉 사금
ejrmffktm.issuehothot.com
임영웅 노래모음 40곡 무료듣기
임영웅씨의 노래는 모든 연령층이 많은 분들이 좋아하고 인기가 많다고 해요. 각별히 어머님들의 사랑을 독차지 할정도로 많은 인지도가 있습니다. 이로 인하여 광고 없이 들을수 있는 임영웅
ejrmffktm.issuehothot.com