뇌질환에 대한 위험성은 많이들 알고 계실거에요. 뇌출혈은 뇌졸중의 1개로 뇌혈관이 막히는 뇌경색과 뇌혈관이 파열되는 뇌출혈로 나뉘는 뇌졸중의 한 종류로 뇌경색의 발생 비중이 훨씬 높지만 뇌출혈이 사망 가능성이 높아 증상이 발생했을때 골든타임안에 의료기관에 방문해 치료를 받는것이 가장 중요해요. 아래단에서는 뇌출혈 전조증상에 대하여 알려드릴게요.
뇌출혈이란
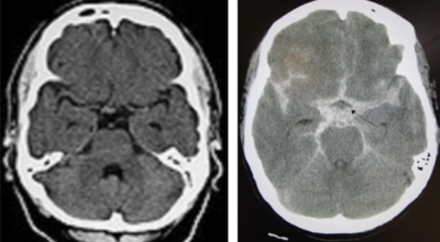
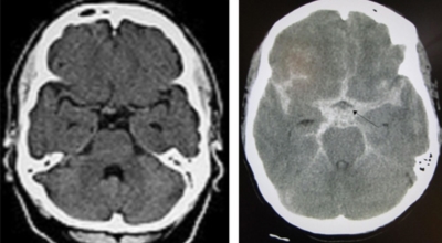
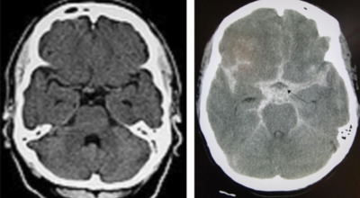
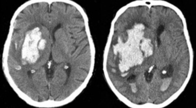
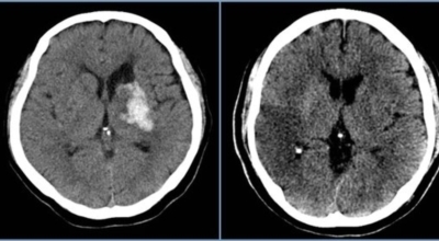
뇌출혈이란 뇌혈관의 출혈이 원인이 되어 일어나는 뇌혈관장애, 뇌일혈이라고도 그러나, 이는 갑작스러운 의식 장애, 이완성 반신불수 등을 유발하는 뇌졸중을 유발하는 대표적인 질환이예요. 뇌출혈의 대부분의 원인은 고혈압증이 원인이지만 드물게 백혈병이나 재생불량성 빈혈 과 같은 혈액질환과 함께 종양, 외상, 매독 등이 원인이 됩니다.






고혈압성 뇌출혈의 원인은 고혈압만이 아니라 터지기 쉬운 상태의 혈관에도 있다고 생각이 가능하지만, 아직까지 발생병리는 완전히 해명이 되지 않은 상태예요. 현재 생각 되는 것은 뇌내세 소동맥, 보통과 다르게 분기부의 혈관벽에 변화가 일어나서 연약해진 곳이 내압을 이겨내지 못하고 팽배해서 터져서 출혈을 한다는 것이죠. 뇌출혈이 일어나는 장소는 내포 부근이 가장 많다고 하며 이 부분의 중대뇌동맥의 가지가 터져서 출혈해요.
뇌출혈의 원인은 아주 다양한것으로 알려져 있답니다. 그중에서 가장 가장 저명한 뇌출혈 까닭으로는 고혈압을 꼽을 수 있습니다. 뇌출혈 발생원인이 되는 약 70%를 차지하는 고혈압은 혈관내 압력이 높은채로 쭉되게되면 세동맥혈관이 괴사되어 미세동맥류가 되는데 이는 파열되어 뇌출혈을 발생시킬 수 있죠. 그리고 외부의 쇼크으로 인한 뇌출혈도 생기게 될 수 있다고 하며, 당뇨, 뇌동맥류, 뇌종용과 같은 다양한 원인이 있답니다.
뇌출혈 전조증상
1. 뇌출혈 전조증상 - 신체 마비
신체 마비 뇌의 일부분이 훼손된 경우가 되어요. 신경계의 훼손에 의하여 생기며 몸 한쪽이 마비되는 경우가 있다고 하죠. 이는 심한 경우에 해당하며 얼굴이 마비되거나 손발이 잘 움직이지 않는 증상이 있다고 하네요. 한쪽 몸이 마비되거나 사지가 저리는 증상을 느낄 수 있답니다.
뇌출혈 부위에 따라 한쪽몸의 마비가 올 수 있죠. 그리고 얼굴이 마비되어 침을 흘리는 증상이 발생하거나 팔다리의 기운이 빠지는 증상을 느낄 수 있답니다. 동일한 질병과는 확연하게 차이가 나는 전조증상이라 생각해요.






2. 뇌출혈 전조증상 - 시력저하
시력장애 뇌출혈 전조증상이 생기게 되면 뇌압이 증가하게 되는데, 이것으로 인해서 시력의 장애가 올 수 있답니다. 눈이 튀어나오는 듯한 느낌, 통증 등과 같은 압력을 느낄 수 있다고 하며 눈두덩이가 붓는 증상, 또는 시야가 흐릿해지는 증상을 경험할 수 있습니다.
3. 뇌출혈 전조증상 - 현기증
현기증 현기증이란 갑작스러운 심한 어지러움증을 느끼는 말로, 현기증이 심하게되면 실신으로 이어질 수 있답니다. 뇌출혈 전조증상을 경험한 환자들은 대게 다양한 강도의 현기증을 경험했다고 해요. 현기증 때문에 넘어지게 될 경우 2차적으로 신체가 다치는 경우가 있으므로 조심하는 것이 좋습니다.






4. 뇌출혈 전조증상 - 심한 두통
두통이 심한 증상은 뇌출혈의 전조증상으로 가장 많이 생기는 증상 중에 한 개예요. 뇌혈관 속에 혈액이 순조롭게 공급되지 않기 때문에 발생하는 현상으로 두통뿐만 아니라 어지러움까지 동반되어요. 이제까지 경험해보지 못한 매우 심각한 두통을 느낀다면 뇌출혈 전조증상일 수 있기 때문에 빠른 검진을 받아보시기 바랍니다.
5. 뇌출혈 전조증상 - 고혈압
뇌의 조직에 영양분과 산소를 공급해주는 혈관이 오랜 기간 동안 노출이 되면 변화가 발생이 됩니다. 뇌출혈 환자의 약 75%의 원인은 고혈압으로 인해서 뇌혈관에 있는 약한 부분이 파열되면서 발생이 되어요.
6. 뇌출혈 전조증상 - 토악질 증상
머리 속의 압력을 크게 상승시켜 심한 두통을 포함해서 구역질 증상을 동반하며 생기는 경우가 많다고 해요. 때로는 이러한 전조증상 없이 구역질가 일어날 수 도 있는데요 이정도라면 정도가 심한 상태 일 수 있기 때문에 즉시 검진이 필요해요.






뇌출혈 전조증상 자가진단 리스트
아래의 뇌출혈 증상이 있는 경우 골든타임이 중요하므로 즉시 119에 전화하여 도움을 요청해야 해요. 119에 전화해야 뇌졸중 진단과 치료가 할 수 있는 병원으로 이송이 가능해요. 뇌졸중 전문 치료 응급실에는 최단 시간 내에 진단과 치료를 가능한 의료진과 시스템이 잘 갖춰져 있어서 필수로 뇌졸중 치료가 할 수 있는 전문 병원 응급실로 가야해요.
1. 침이 한쪽으로 흐르고, 혀끝과 입술의 감각이 없어져요.
2. 걸을 때 한쪽으로 치우치거나 빈번히 넘어져요.
3. 저리거나 감각이 없는 증상이 숟가락을 들지 못할 정도입니다.
4. 특별한 이유 없이 한 쪽 눈꺼풀이 쳐지고, 눈이 감기거나, 한쪽이 흐리거나 보이지않아요.
5. 말을 할 때 발음이 어눌하던가 상대방의 말이 무슨 말인지 이해가 되지 않아요.
6. 한쪽 팔이나 다리에 힘이 없어지고, 저리거나 감각이 없답니다.






뇌출혈 치료 방법
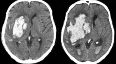
뇌출혈은 발작 직후 안정을 취해야 해요. 뇌부기를 가라앉히기 위해 약물 요법으로 고농도 포도당, 덱사메타존, 만니톨 등을 투약할 수 있고 뇌의 혈액 순환을 회복시키는 주사와 지혈제, 진정제 등을 활용할 수 있답니다. 혈종의 크기가 중등도 이상으로 마비 증세가 있다면 머리뼈에 작은 구멍을 내서 관을 넣어 혈종을 뽑아내는 수술을 시행할 수 있습니다.
혈압성 뇌출혈인 경우 혈종의 크기가 작으며 환자의 증상이 경미하면 약물 치료를 시행해요. 혈종의 크기가 아주 크며 뇌가 심하게 부어오를 때는 응급으로 머리뼈를 절개해 혈종을 빠르게 제거해야해요. 응급조치가 늦어지면 뇌압이 상승해 의식을 잃고 사망에 이를 수 있기 때문인데요 이렇게 증상이 심할 때는 수술이 잘 되었더라도 예후가 좋지 못할 때가 많다고 해요.
뇌출혈 예방법
뇌조직은 한번 괴사 하다 보면 어떠한 방법으로도 다시금 되돌아갈 수 없습니다. 죽은 세포는 돌아오지 않는다는 말입니다. 뇌졸중이 발생하다 보면 정도의 차이는 있지만 후유증이 생겨나게 되어요.
이런 무서운 병 뇌졸중을 근본적으로 해결할 수 있는 방법은 예방뿐입니다. 우선 나트륨 섭취를 줄여야 해요. 나트륨 섭취가 많으면 혈류량이 증가해서 고혈압이 생길 수 있습니다. 체중관리를 위해 나트륨은 적게 먹으며 물을 하루에 1리터~2리터 마시는 것을 추천드립니다. 채소와 과일을 많이 먹어야 하는데 이유는 과일과 채소에는 칼륨이 넘치기 때문이예요.
칼륨은 혈관 조직을 신장하는 역할을 하여 뇌출혈 을 방지하는데 긍정적인 영향을 줘요. 또 하루에 30분 이상 계속하여 유산소 운동을 해주는 게 좋아요. 달리기, 수영, 자전거 등등 이 있으며 근력운동도 같이 해주면 효과가 좋은데 주 2~3회 하시는 것을 권장해요.
요즘처럼 추운 날씨에 영하의 온도로 줄어들게 되면 혈관은 가파르게 수축하게 되어 뇌졸중의 발생위험이 높아집니다. 따듯한 실내 공간에서 추운 실외로 이동시 급격한 온도변화에 수축해 있던 혈관에 갑작스럽게 많은 혈액이 몰리게 되면서 뇌경색이나 뇌출혈의 위험이 높아집니다. 많은 혈액의 몰리면서 어지럼증이 일어날 수 있답니다.
그러므로 겨울철 실외 기온이 낮은 곳에 긴 시간 있거나 갑작스럽게 추운 장소로 나가는 것을 피해야 해요. 적절한 체온을 지속하는 것이 좋습니다. 과한 업무나 스트레스를 받지 않도록 해야해요 즐거운 마음을 가져요 . 충분한 수면 역시 인체리듬에 있어 중요해요. 싱겁게 먹기, 정기적인 검사, 지속적인 치료 등이 있겠습니다.






뇌출혈 전조증상에 대해서 전해드렸습니다. 읽으시는 분께 아주 좋은 내용이 되었기를 바랍니다.
구내염 원인 7가지, 증상, 치료법
여러분들은 구내염 하면 무엇부터 생각나시나요? 전 양치질과 식사때 불편함에 치를 떠는데요. 가끔씩 원인모를 구내염이 발생하는데 그 이유가 뭘까 궁금해 하신적 있으세요? 오늘 바로 구내
ejrmffktm.issuehothot.com
3월 여행하기 좋은곳 추천 리스트
3월이면 봄이라고 할수 있어요. 슬슬 움추렸던 마음과 몸을 환기 시킬겸 여행을 떠나시려고 하는 분들이 많이 계신 것 같은데요. 코로나 규제 완화로 훨씬 관심을 가지고 계신 3월 여행하기 좋은
ejrmffktm.issuehothot.com
구연산 활용법 똑똑한 살림 방법
친환경 세제들중 가장 사랑을 받고 있는 구연산 활용법에 대해 알아보도록 해요. 구연산만 잘 사용한다고 하면 이미 가사생활의 고수의 길로 한걸음 가까워질수 있기 때문에 함께 알아 가보도
ejrmffktm.issuehothot.com